泰儿图移动商城
Member Center
Go
泰儿图移动商城
AAV2/9-hSyn-iGABASnFR.st-mCherry-WPRE-pA
AAV2/9-hSyn-iGABASnFR.st-mCherry-WPRE-pA
Collection
AAV2/9-hSyn-iGABASnFR.st-mCherry-WPRE-pA
Collection
¥0.00
¥1500.00
Collection
腺相关病毒包装规格
组合套餐
0
组套餐,最多可省¥
0.0
查看更多套餐 >
Detail
Parameters
Review
Looger实验室经过筛选,以Pf622(一种来自于荧光假单胞菌中的GABA结合蛋白)为基础进行改造,在中间插入了荧光报告基团cpSFGFP(它们在iGluSnFR中替代cpGFP提高了表达和光稳定性),N段加了出膜信号mito,C端加了膜锚定信号,在连接肽和GABA结合界面上做了优化。
纯化的iGABASnFR的**∆F/F为2.5,与GABA的解离常数为
9µM
。它
对其他氨基酸没有亲和力
,对甘氨酸(500µM)、丙氨酸(830µM)和组氨酸(2.4 mM)的亲和力很低。它
对类似的四碳代谢物富马酸、苹果酸、草酰乙酸酯和琥珀酸没有亲和力
。Looger实验室做了额外的努力,做出了iGABASnFR.F102G(∆F/F提高到4.5但Kd降低到50μM),iGABASnFR.F102Y.Y137L(∆F/F提高到3.5,Kd降低到70μM)以及其他几个突变版本,并对它们的功能做了验证。
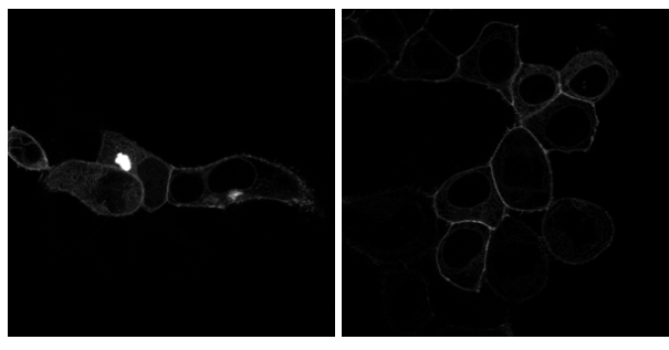
将iGABASnFR变异体克隆到pDisplay中,在HEK细胞中表达,都显示出
良好的膜定位
。
左:iGABASnFR.F102G
右:iGABASnFR.F102Y.Y137L
同样,在AAV2/1-hSyn-iGABASnFR感染P0新生大鼠海马神经元的原代培养中,iGABASnFR在体外14d显示出良好的
膜定位和亮度
,但F102G和F102Y.Y137L突变体明显变暗,并显示细胞内积累
左:iGABASnFR.F102G
右:iGABASnFR.F102Y.Y137L
在小鼠麻醉模型中,将AAV2/1-hSyn-iGABASnFR病毒注射在primary visual cortex (V1),然后给予异氟烷 (Isoflurane)麻醉处理。异氟烷这类吸入麻醉药会同时降低皮层谷氨酸和GABA递质的释放,对谷氨酸释放影响更明显,所以总体上降低神经元活动。通过双光子显微镜对150×150×450µm的区域进行观察40分钟,
发现给予麻醉剂后,iGABASnFR的信号值降低了大约20%,撤药后逐步回升至基线
。在与非GABA结合的阴性对照(R205A)的平行实验中,荧光在观察期内缓慢衰减,麻醉解除后没有恢复。
在体小鼠癫痫模型中,将AAV2/1-hSyn-iGABASnFR(或变体)注射到小鼠V1的第2/3层。皮下注射毛果芸香碱诱导癫痫样活动,持续时间长达60分36秒。发作间歇期与多棘波和ECoG发作交替出现,持续1-2分钟。iGABASnFR荧光显示了
与发作间期尖峰时间相符的瞬变
。
在定型多峰期间,荧光峰间隔<1s可以用iGABASnFR.F102G(图b)分辨。在持续1分钟的癫痫发作期间,仍然可以看到与低频ECoG成分一致的离散峰值(图c)。在癫痫发作期间荧光逐渐减弱,在癫痫发作之间的心电图静默期间缓慢恢复(图d)。由于这种缓慢的下降在发作间歇期和高峰期未见(图a,b),不能归因于光漂白。iGABASnFR对pH的变化比较敏感。癫痫发作过程中的细胞外酸化已有大量文献记载,并被认为有助于终止癫痫。虽然这种对荧光变化的描述与GABA的激增和细胞外pH的变化是一致的,但使用GABA不敏感的pH指示器(如pHluorin)或改进的pH不敏感的GABA传感器的进一步实验将有助于区分这两种现象。
iGABASnFR黑色,F102G深灰色
F102Y.Y137L浅灰色
R205A黑白色圆圈,cpSFGFP绿色
斑马鱼小脑中的GABA。作为iGABASnFR在体内的最后一个证明,我们在一个虚构的游泳模型中使用光片成像观察到斑马鱼小脑中的GABA瞬变。在斑马鱼中,虚构的游泳触发GABA能小脑浦肯野细胞的强烈激活。在游泳比赛中,我们观察到含有GABA能浦肯野细胞轴突的小脑神经纤维区发生了
明显的荧光变化
。这一结果表明,iGABASnFR可以可靠地检测到可能在运动控制中起关键作用的局部GABA传递。
状态
显示
现货分类
原研现货
病毒种类
腺相关病毒 Adeno-associated Virus
病毒来源
AuthorizedVirus
系统编号
S917-9
血清型
AAV2/9
功能基因
iGABASnFR
功能基因类型
GABA探针
启动子
hSyn
载体标记(荧光及其他)
mCherry
表达方式
特异型表达
Home
Customer service
shopping cart
ADD TO CART
BOOK
Post a comment
Submit
AAV2/9-hSyn-iGABASnFR.st-mCherry-WPRE-pA
¥
0.00
腺相关病毒包装规格
金标AAV 5ul ≥1E+13V.G./ml
金标AAV 20ul ≥1E+13V.G./ml
Quantity
Confirm
电话咨询
信息咨询
在线地图
在线留言